Case Report for Delayed Post-traumatic Hematomediastinum
Abstract
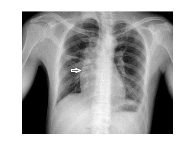
Hematomediastinum caused by mediastinal injury is often found to be difficult to diagnose until clinical presentation, and no cases of delayed onset have been reported. A 35-year-old patient who developed mediastinal hematoma 9 days after presentation was treated. Radiography and CT scan were used for diagnosis and hematoma was removed by mediastinal puncture.
Copyright (c) 2025 Nam-Ryong Song, Un-Hyo Kim, Hyon-Jong Kim, Yong-Jin Ryu, Un Song

This work is licensed under a Creative Commons Attribution-NonCommercial-NoDerivatives 4.0 International License.
